Así es el corazón normal de un adolescente

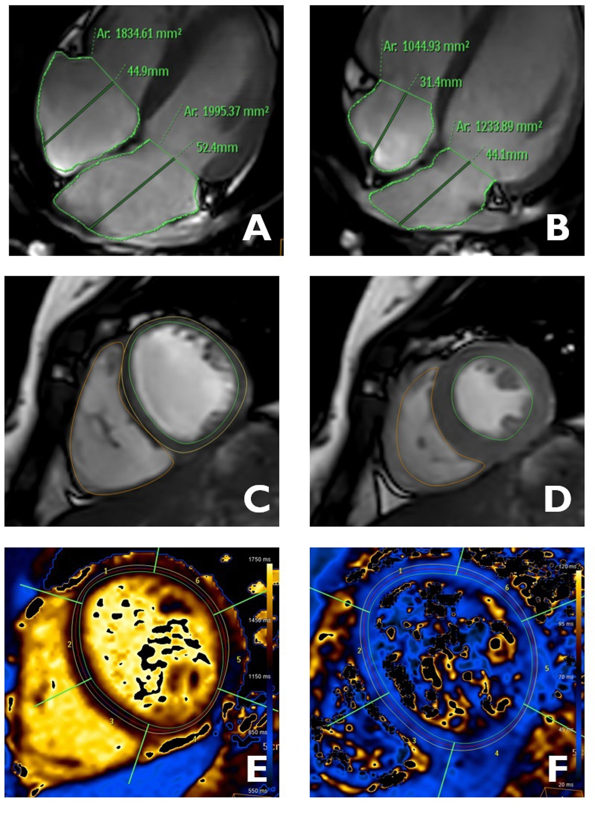
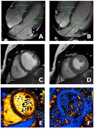
Imágenes del corazón obtenidas mediante resonancia magnética en las que se analizan distintas estructuras de la anatomía y función del corazón: aurículas (A y B), ventrículos (C y D), características del tejido cardiaco (E y F).
Imágenes del corazón obtenidas mediante resonancia magnética en las que se analizan distintas estructuras de la anatomía y función del corazón: aurículas (A y B), ventrículos (C y D), características del tejido cardiaco (E y F). - CNIC
Infosalus
Publicado: viernes, 3 marzo 2023 10:06


MADRID, 3 Mar. (EUROPA PRESS) -

Un estudio liderado por el Centro Nacional de Investigaciones Cardiovasculares (CNIC) ha utilizado una resonancia magnética de última generación para desvelar los valores de normalidad de la anatomía y función del corazón en adolescentes.

Los resultados, publicados en la revista científica 'eClinicalMedicine', tienen implicaciones directas en la práctica clínica, pues proporciona un listado de valores de referencia para multitud de parámetros del corazón utilizados en la práctica diaria.

El director científico del CNIC y co-autor del trabajo, Borja Ibáñez, ha asegurado que "los resultados tienen implicaciones directas en la práctica clínica, pues proporcionan un listado de valores de referencia para multitud de parámetros del corazón utilizados en la práctica diaria, como son las dimensiones y función de las diferentes cámaras cardiacas (aurículas y los ventrículos) y la composición del tejido cardiaco".

Así, esto permitirá "conocer si los datos obtenidos del corazón de un adolescente mediante resonancia magnética en cualquier centro entran dentro de lo que se podría considerar 'normal' o no, lo que podría implicar esto último que sea preciso un seguimiento más cercano o pruebas adicionales", ha destacado el doctor Fernández-Jiménez.

El director general del CNIC y co-autor del trabajo, Valentín Fuster, ha explicado que la resonancia magnética "se ha convertido en una de las técnicas de imagen más utilizadas para estudiar el corazón al ser una prueba que no emite radiación y debido a que aporta más información y de mayor precisión a la obtenida por ecografía, la prueba usada más a menudo".

Sin embargo, la mayor parte de los datos que se tienen de resonancia magnética cardiaca en adolescentes proviene de personas con alteraciones congénitas y otras enfermedades del corazón, por lo que no se conocían bien cuáles eran los valores "normales" en la población general.

Esta información es indispensable para poder interpretar adecuadamente los estudios de resonancia magnética cardiaca, tal y como explica el doctor Rodrigo Fernández-Jiménez, investigador principal del trabajo, líder del grupo de investigación en Imagen y Salud Cardiovascular en el CNIC y cardiólogo en el Hospital Clínico San Carlos.

Y eso fue precisamente lo que los investigadores del CNIC decidieron determinar. Dentro del proyecto EnIGMA (Early ImaginG Markers of unhealthy lifestyles in Adolescents), y en plena pandemia de COVID-19, este equipo fue capaz de incluir en el estudio a 123 adolescentes, 64 chicas y 59 chicos, provenientes de 7 institutos públicos de educación secundaria de la Comunidad de Madrid.

Estos institutos y adolescentes participaban en el Programa SI! de Educación Secundaria, un programa de promoción de hábitos de vida saludable que coordina la Fundación SHE, con el apoyo de la Fundación "la Caixa" y la Universidad de Barcelona.

Carlos Real, primer autor del trabajo, investigador en el CNIC y Médico Interno Residente en Cardiología en el Hospital Clínico San Carlos, ha aplaudido que "la respuesta de los adolescentes y sus familiares fue increíble".

"Algunos de estos institutos se encuentran a más de 60 kilómetros de la capital, y los adolescentes y al menos un progenitor o tutor legal se desplazaron de forma totalmente altruista a las instalaciones que el CNIC dispone para la realización de estudios de imagen cardiovascular de última generación. Les estamos muy agradecidos pues sin su colaboración no hubiera sido posible llevar a cabo este trabajo", ha añadido.

Contenido patrocinado