Un minúsculo cambio químico revierte la prediabetes en ratones

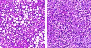
(Izquierda) Hígado Graso En Ratón Obeso. (Derecha) Hígado En Ratones En Los Que Se Redujeron Las Ceramidas Mediante La Inactivación De Una Enzima, La Dihidroceramida Desaturasa 1, Un Objetivo Que Podría Usarse Para Desarrollar Nuevos Medicamentos Contra
(Izquierda) Hígado Graso En Ratón Obeso. (Derecha) Hígado En Ratones En Los Que Se Redujeron Las Ceramidas Mediante La Inactivación De Una Enzima, La Dihidroceramida Desaturasa 1, Un Objetivo Que Podría Usarse Para Desarrollar Nuevos Medicamentos Contra - TREVOR TIPPETTS
Infosalus
Publicado: viernes, 5 julio 2019 7:53

MADRID 5 Jul. (EUROPA PRESS) -

Un pequeño cambio químico, al cambiar la posición de dos átomos de hidrógeno, marca la diferencia entre ratones sanos y ratones con resistencia a la insulina e hígado graso, los principales factores de riesgo para la diabetes y las enfermedades cardíacas, según una investigación del Laboratorio Health and Merck Research de la Universidad de Utah, publicada en la revista 'Science'.

Hacer el cambio previno la aparición de estos síntomas en ratones alimentados con una dieta alta en grasas y revertió la prediabetes en ratones obesos.

Así, los científicos cambiaron la trayectoria de la enfermedad metabólica desactivando una enzima llamada dihidroceramida desaturasa 1 (DES1). Al hacerlo, impidieron que la enzima eliminara los hidrógenos finales de un lípido graso llamado ceramida, lo que tiene el efecto de reducir la cantidad total de ceramidas en el cuerpo.

El hallazgo destaca el papel de las ceramidas en la salud metabólica y señala a la DES1 como un objetivo 'apto para medicamentos' que podría usarse para desarrollar nuevas terapias para los trastornos metabólicos como la prediabetes, la diabetes y las enfermedades cardíacas, que afectan la salud de cientos de millones de estadounidenses.

"Hemos identificado una estrategia terapéutica potencial que es notablemente efectiva y subraya cómo los sistemas biológicos complejos pueden verse profundamente afectados por un cambio sutil en la química", señala Scott Summers, presidente de Nutrición y Fisiología Integrativa en la Universidad de Utah y coautor principal del estudio con David Kelley, anteriormente de Merck Research Laboratories.

"Nuestro trabajo muestra que las ceramidas tienen un papel influyente en la salud metabólica --explica Summers--. Estamos pensando en las ceramidas como el próximo colesterol".

Esta no es la primera vez que el grupo de Summers ha descubierto que reducir las ceramidas podría revertir los signos de la diabetes y la enfermedad metabólica. Sin embargo, las técnicas utilizadas en experimentos previos causaron efectos secundarios graves, por lo que el enfoque no era adecuado para aplicaciones terapéuticas.

Esta vez, se preguntaron si hacer el cambio más pequeño posible y en un momento y lugar precisos podría dar mejores resultados.

Para reducir las ceramidas, los investigadores bloquearon el paso final de la síntesis de ceramidas de dos maneras. Los ratones de ingeniería genética del grupo de Summers en los que el gen que codifica DES1 se puede desactivar durante la edad adulta y desactivar el gen de los tejidos de todo el cuerpo o, alternativamente, de las células hepáticas o grasas.

El grupo de Kelley inyectó ARN de horquilla corta en el hígado adulto, un método que redujo selectivamente la producción de DES1 al destruir el precursor de ARN.

Los científicos probaron los nuevos enfoques primero colocando ratones adultos en una dieta alta en grasas, una que se asemejaba a la masa para galletas con abundante azúcar y seis veces la grasa de una dieta normal para roedores. Los ratones ganaron dos veces su peso corporal en tres meses. Junto con la obesidad vino una tensión en su salud metabólica y desarrollaron resistencia a la insulina y grasa acumulada en el hígado, ambos signos de enfermedad metabólica.

Pocas semanas después de disminuir las ceramidas con cualquiera de las dos técnicas, hubo cambios significativos. Los ratones permanecieron obesos pero su salud metabólica mejoró. La grasa se eliminó del hígado y respondieron tanto a la insulina como a la glucosa como un ratón sano y delgado. A diferencia de las intervenciones anteriores, los ratones se mantuvieron sanos durante los dos meses de investigación. Los efectos a largo plazo en la salud están actualmente bajo investigación.

"Su peso no cambió, pero sí la forma en que manejaron los nutrientes --precisa Summers--. Los ratones estaban gordos, pero felices y saludables".

Otro paradigma, bajar las ceramidas antes de poner a los ratones en una dieta alta en grasas, previno el aumento de peso y la resistencia a la insulina.

Aunque el impacto de disminuir las ceramidas en los seres humanos aún se desconoce, existe evidencia de que las ceramidas están vinculadas a enfermedades metabólicas, dice Summers. Señala que las clínicas ya están realizando pruebas de detección de ceramida para evaluar el riesgo de un individuo de desarrollar una enfermedad cardíaca.

Summers y Kelley ahora están desarrollando medicamentos que inhiben el DES1 con el objetivo de crear nuevas terapias. "Este proyecto proporciona una validación sustancial de que este es un punto de intervención discreto y altamente efectivo", señala Kelley.

Últimas noticias sobre estos temas

Contenido patrocinado