La conmoción cerebral puede alterar la forma en que se transmite la información dentro del cerebro

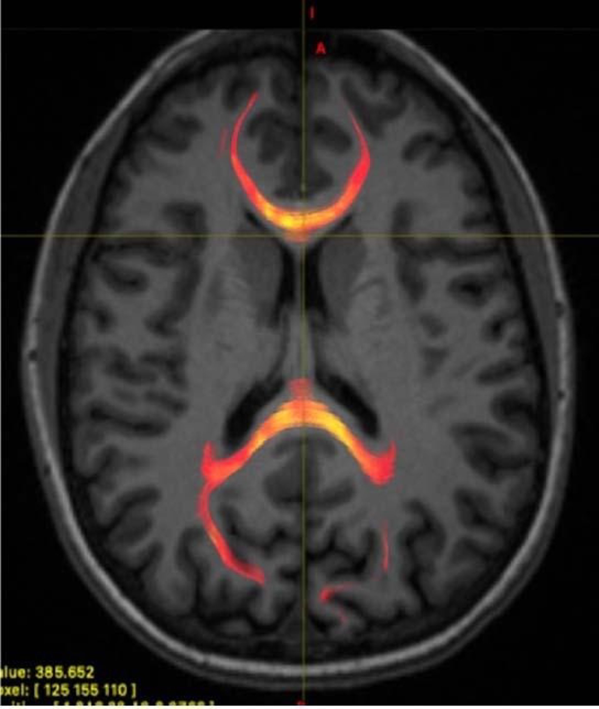
Imagen de RMN de un paciente con lesión cerebral traumática leve que muestra tractografía de fibra callosa del cuerpo
Imagen de RMN de un paciente con lesión cerebral traumática leve que muestra tractografía de fibra callosa del cuerpo - RSNA
Infosalus
Publicado: martes, 3 diciembre 2019 18:59


MADRID, 3 Dic. (EUROPA PRESS) -

El daño por conmoción cerebral altera la forma en que se transmite la información entre las dos mitades del cerebro, según un nuevo estudio presentado este martes en la reunión anual de la Radiological Society of North America (RSNA, por sus siglas en inglés).

Otras investigaciones anteriores han demostrado que el cuerpo calloso, un conjunto de fibras nerviosas que transporta señales entre los hemisferios izquierdo y derecho del cerebro, es vulnerable al daño causado por una lesión cerebral traumática leve, comúnmente conocida como conmoción cerebral. Pero se sabe menos sobre el impacto de este daño en la función cognitiva.

Para intenter conseguir más información, investigadores de la Facultad de Medicina de la Universidad de Nueva York (Estados Unidos) compararon la condición del cuerpo calloso en 36 pacientes con conmoción cerebral reciente con la de 27 personas sanas. Estudiaron los cerebros de los participantes con dos avances innovadores, incluyendo una técnica de resonancia magnética (RM) que usa medidas de difusión de agua para proporcionar una vista microscópica de la materia blanca que transporta la señal del cerebro.

Después, combinaron los hallazgos de la RM con los resultados del segundo avance innovador del estudio, llamado 'Tarea de Velocidad de Procesamiento Interhemisférico', una prueba desarrollada en esta universidad norteamericana que evalúa cómo de bien se comunican entre sí los dos hemisferios en el cerebro.

Para la prueba, se les dijo a los participantes que se sentaran en una silla y enfocasen su mirada en la letra X que se mostraba en una pantalla justo enfrente de ellos. Luego, los investigadores mostraron palabras de tres letras a la derecha o a la izquierda de la X y pidieron a los participantes que dijeran esas palabras lo más rápido posible. Cuando los investigadores evaluaron este tiempo de reacción tanto en pacientes con conmoción cerebral como en las personas sanas, notaron un fenómeno interesante.

"Hay un retardo definitivo y reproducible en el tiempo de reacción de las palabras presentadas a la izquierda de la X en comparación con las palabras presentadas al campo visual derecho. Esto muestra que se necesita tiempo para que la información cruce el cuerpo calloso de un hemisferio al otro, lo que se mide por la diferencia en el tiempo de respuesta entre las palabras presentadas a los diferentes lados de nuestro campo visual", explican los autores.

Este retraso se debe probablemente al hecho de que la función del lenguaje se localiza con mayor frecuencia en el hemisferio izquierdo del cerebro. Esto significa que la información presentada en el campo visual izquierdo se transmite primero a la corteza visual derecha del cerebro y luego tiene que atravesar el cuerpo calloso para llegar al centro de lenguaje izquierdo. Por el contrario, las palabras que se presentan en el campo visual derecho no necesitan cruzar el cuerpo calloso.

Contenido patrocinado