Los ácidos grasos indican a las células madre esqueléticas si deben formar hueso o cartílago

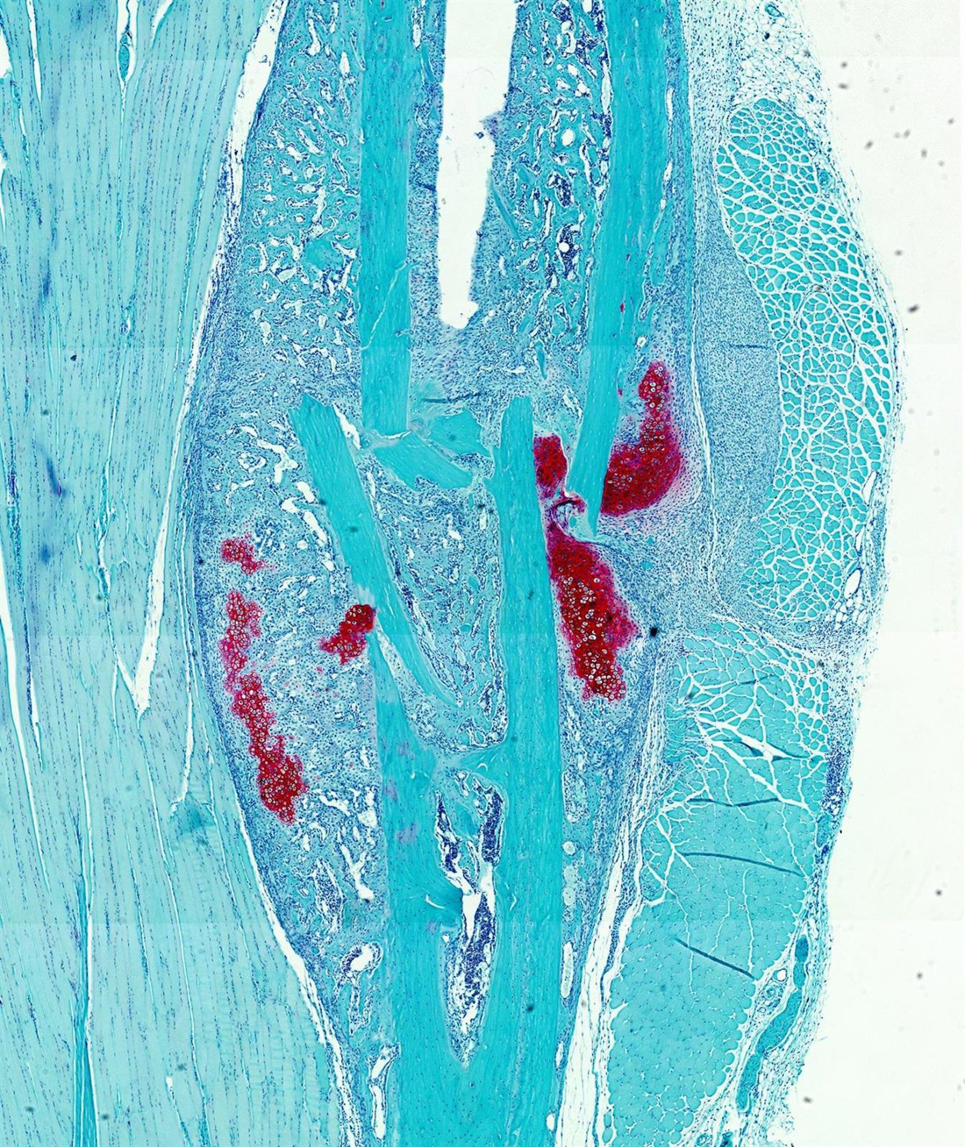
Una sección histológica de una fractura ósea de ratón.
Una sección histológica de una fractura ósea de ratón. - NICK VAN GASTEL.
Infosalus
Publicado: jueves, 27 febrero 2020 7:45

MADRID 27 Feb. (EUROPA PRESS) -

En el caso de una fractura ósea, los ácidos grasos de la sangre señalan a las células madre que tienen que convertirse en células formadoras de hueso. Si no hay vasos sanguíneos cerca, las células madre terminan formando cartílago. El hallazgo de que nutrientes específicos influyen directamente en el desarrollo de células madre abre nuevas vías para la investigación con células madre, según publican científicos biomédicos de KU Leuven, en Bélgica, y la Universidad de Harvard en la revista 'Nature'.

Las fracturas óseas sanan a través de la acción de las células progenitoras esqueléticas: células madre que han evolucionado aún más, pero que aún pueden desarrollarse en diferentes tipos de células. La cicatrización ósea se produce de una de dos maneras: las células progenitoras evolucionan a células formadoras de hueso cuando la fractura es pequeña, y a células de cartílago cuando la fractura es más grande. Este cartílago luego es reemplazado por hueso. Hasta ahora, los científicos no sabían cómo las células progenitoras deciden si se convierten en células óseas o cartilaginosas.

"Nuestra hipótesis era que la presencia de vasos sanguíneos juega un papel --explica el primer autor, Nick van Gastel--. A pesar de lo que mucha gente piensa, nuestros huesos están llenos de vasos sanguíneos, mientras que el cartílago no tiene ninguno". Este nuevo estudio en ratones confirmó la suposición del equipo: cuando se bloquearon los vasos sanguíneos que rodean una fractura, se formó el cartílago. Cuando no lo fueron, se creó hueso nuevo de inmediato.

En una segunda fase del estudio, los investigadores trataron de descubrir qué señal envían los vasos sanguíneos a las células progenitoras para que evolucionen a una célula de hueso o de cartílago. "Nuestra investigación previa ya había demostrado que los nutrientes juegan un papel en la biología de las células progenitoras", explica el profesor Geert Carmeliet de la Unidad de Endocrinología Clínica y Experimental de KU Leuven, quien dirigió el estudio.

Para el estudio actual, el equipo probó cómo la presencia de diferentes nutrientes influye en el destino de las células progenitoras. Sus resultados muestran que los ácidos grasos presentes en la sangre hacen que las células progenitoras se conviertan en células formadoras de hueso.

Si no hay ácidos grasos cerca, las células progenitoras activan el gen SOX9, que desempeña un papel importante en el desarrollo esquelético. Esta es la señal para que la célula se convierta en una célula de cartílago. Las células del cartílago no necesitan ácidos grasos para sobrevivir y formar cartílago.

"Este estudio es útil para los investigadores en medicina regenerativa, ya que todavía sabemos poco sobre la formación de cartílago --apunta el profesor Carmeliet--. La investigación de los trastornos del cartílago como la osteoartritis también puede beneficiarse de estos hallazgos. Hay indicios de que las células del cartílago reciben más señales de ácidos grasos y no producen suficiente cantidad del gen SOX9 en pacientes con dichos trastornos, lo que puede tener efectos adversos en las articulaciones".

"Finalmente --prosigue--, nuestro estudio muestra por primera vez que los nutrientes específicos pueden informar a las células madre en qué tipo de células deberían convertirse. Ese es un paso importante en la investigación de células madre". Los investigadores esperan mapear los efectos de diferentes nutrientes en diferentes tipos de células progenitoras.

Últimas noticias sobre estos temas

Contenido patrocinado