Proteínas hasta ahora ignoradas, posible objetivo para el cáncer de mama de difícil tratamiento

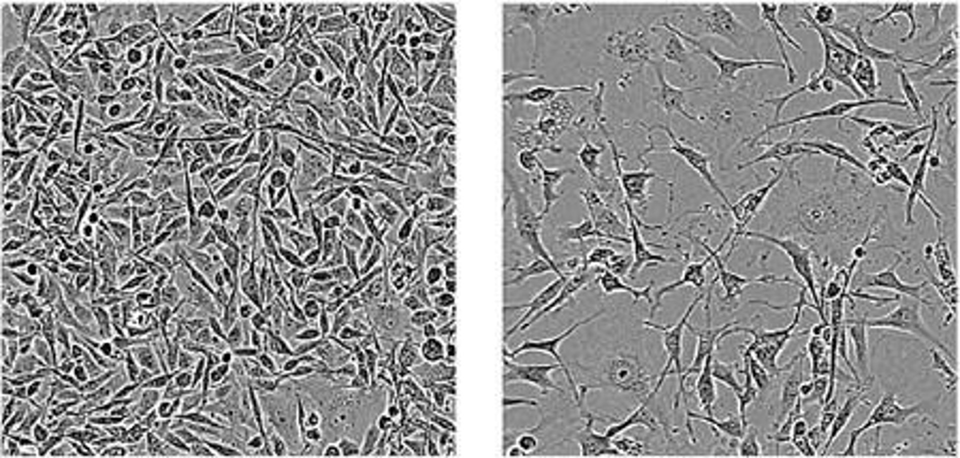
Las células de cáncer de mama triple negativas se muestran a la izquierda. Sin la proteína de unión al ARN YTHDF2 (derecha), sobrevivieron menos células cancerosas.
Las células de cáncer de mama triple negativas se muestran a la izquierda. Sin la proteína de unión al ARN YTHDF2 (derecha), sobrevivieron menos células cancerosas. - UC SAN DIEGO HEALTH SCIENCES
Infosalus
Publicado: martes, 6 julio 2021 6:59


MADRID, 6 Jul. (EUROPA PRESS) -

Estudios de Universidad de Califonia (UC San Diego) que han utilizado líneas celulares humanas y tumores cultivados en ratones han proporcionado evidencia preliminar de que la inhibición de las proteínas de unión al ARN, una familia de moléculas que antes se pasaba por alto, podría proporcionar un nuevo enfoque para el tratamiento de algunos cánceres, según publican sus autores en la revista 'Molecular Cell'.

En la investigación sobre el cáncer es un objetivo común encontrar algo en las células cancerosas -algún tipo de molécula- que impulse su capacidad de supervivencia, y determinar si esa molécula podría inhibirse con un fármaco, deteniendo el crecimiento del tumor. Y aún mejor, que la molécula no esté presente en las células sanas, por lo que éstas no se vean afectadas por la nueva terapia.

Se ha avanzado mucho en este enfoque, conocido como terapia molecular dirigida contra el cáncer. Algunas terapias actuales contra el cáncer inhiben enzimas que se vuelven hiperactivas, lo que permite a las células proliferar, extenderse y sobrevivir más allá de lo normal. El problema es que muchas de las moléculas conocidas que provocan el cáncer son "inatacables", es decir, su tipo, forma o ubicación impiden que los fármacos se unan a ellas.

Los investigadores de la Facultad de Medicina de la Universidad de California en San Diego están explorando ahora el potencial terapéutico de las proteínas de unión al ARN, una familia de moléculas impulsoras del cáncer relativamente sin explotar.

Una vez que los genes (ADN) se transcriben en ARN, estas proteínas proporcionan una capa adicional de control celular, determinando qué copias de ARN se traducen en otras proteínas y cuáles no. Al igual que muchos sistemas moleculares que rigen el crecimiento celular, las proteínas de unión al ARN pueden contribuir al desarrollo de tumores cuando funcionan mal.

En su último estudio, el equipo de la Facultad de Medicina de la UC San Diego descubrió en células humanas y modelos de ratón que las proteínas de unión al ARN representan una nueva clase de dianas farmacológicas para los cánceres, incluido el cáncer de mama triple negativo, un cáncer especialmente difícil de tratar porque carece de la mayoría de las demás dianas farmacológicas moleculares.

Una proteína de unión al ARN destacó en particular: YTHDF2. Cuando los investigadores eliminaron genéticamente la YTHDF2 de los tumores de mama humanos triplemente negativos trasplantados a ratones, los tumores se redujeron aproximadamente 10 veces en volumen.

"Estamos entusiasmados con el hecho de que las proteínas de unión al ARN parezcan ser una nueva clase de dianas farmacológicas para el cáncer --afirma el autor principal, Gene Yeo, doctor y profesor de medicina celular y molecular de la Facultad de Medicina de la UC San Diego--. Todavía no estamos seguros de la facilidad con la que se pueden medicar en este contexto, pero hemos construido un marco sólido para empezar a explorarlas".

Yeo dirigió el estudio con la doctora Jaclyn Einstein, estudiante de posgrado en su laboratorio. Einstein se unirá a una empresa de nueva creación surgida del laboratorio para explorar la capacidad farmacológica de YTHDF2.

El equipo de Yeo lleva mucho tiempo estudiando el papel de las proteínas de unión al ARN en otras enfermedades. En 2016, por ejemplo, descubrieron que las mutaciones en una de estas proteínas contribuyen a la ELA al desordenar sistemas de mensajería celular cruciales.

Para empezar a explorar las proteínas de unión al ARN como objetivos farmacológicos contra el cáncer, los investigadores recurrieron a una vieja filosofía conocida como letalidad sintética. En este enfoque de un solo golpe, empezaron con células mamarias humanas diseñadas para producir en exceso otra conocida molécula cancerígena, y buscaron vulnerabilidades adicionales específicas de esas células.

Los investigadores silenciaron sistemáticamente las proteínas de unión al ARN en estas células cancerosas, una por una, utilizando la técnica de edición genética CRISPR. Encontraron 57 proteínas de unión al ARN que, cuando se inhiben, matan a las células cancerosas con el conocido impulsor del cáncer hiperactivo.

La ventaja del método letal sintético es que las células normales, que no producen esa molécula impulsora del cáncer, no se ven afectadas por el tratamiento. De estas 57 proteínas de unión al ARN, la YTHDF2 parecía la más prometedora.

El equipo también ha desarrollado recientemente una nueva técnica de laboratorio denominada Surveying Targets by APOBEC-Mediated Profiling (STAMP), que les permite medir lo que hasta ahora había sido en gran medida invisible: cómo las proteínas de unión al ARN interactúan con las moléculas de ARN dentro de las células individuales.

Los investigadores utilizaron STAMP en este estudio para obtener una visión detallada de cómo se comportan las distintas células que componen un tumor de mama sin YTHDF2. El enfoque reveló que las células cancerosas deficientes en YTHDF2 mueren por apoptosis inducida por el estrés, un mecanismo cuidadosamente controlado que las células utilizan para destruirse a sí mismas.

Se supone que la apoptosis cierra las células que funcionan mal para que no surjan tumores, pero no siempre funciona. Al eliminar el YTHDF2, consiguieron reactivar esta señal de muerte celular.

Para comprobar la seguridad del tratamiento del cáncer mediante la inhibición de YTHDF2, los investigadores crearon ratones que carecían de YTHDF2 en todas las células del cuerpo adulto, no sólo en las células de cáncer de mama trasplantadas. Los ratones parecían completamente normales: no sólo no tenían tumores, sino que no había cambios en el peso corporal ni en el comportamiento.

"Estos ratones, por lo demás sanos, nos indican que cabe esperar unos efectos secundarios adversos mínimos de las posibles terapias que actúen dirigiéndose a YTHDF2", afirma Einstein.

Últimas noticias sobre estos temas

Contenido patrocinado