Nuevos hallazgos sobre la enzima que permite al virus del COVID-19 entrar en las células

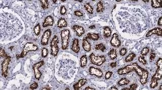
La enzima ACE2 (en marrón) expresada en el riñón. Usando análisis inmunohistoquímicos, los investigadores evalúan la expresión de la angiotensina ACE2 en más de 150 tipos de células humanas.
La enzima ACE2 (en marrón) expresada en el riñón. Usando análisis inmunohistoquímicos, los investigadores evalúan la expresión de la angiotensina ACE2 en más de 150 tipos de células humanas. - THE HUMAN PROTEIN ATLAS PROGRAMME
Infosalus
Publicado: viernes, 7 agosto 2020 10:50


MADRID, 7 Ago. (EUROPA PRESS) -

Investigadores de la Universidad de Uppsala (Suecia) han descrito la presencia, en todo el cuerpo humano, de la enzima ACE2. Se cree que es la proteína clave utilizada por el virus del SARS-CoV-2 para la entrada en las células huéspedes y el desarrollo de la enfermedad COVID-19. A diferencia de estudios anteriores, el estudio muestra que no hay o hay muy poca proteína ACE2 presente en el sistema respiratorio normal.

La investigación, publicada en la revista 'Molecular Systems Biology', presenta una evaluación sistemática a gran escala de la expresión de la ACE2 en más de 150 tipos de células, tanto a niveles de ARN mensajero (ARNm) como de proteína, e informa que la ACE2 se expresa sólo a niveles muy bajos, si es que los hay, en las células epiteliales respiratorias.

"Teniendo en cuenta las manifestaciones clínicas de COVID-19, con el síndrome de dificultad respiratoria aguda y el daño extensivo al parénquima pulmonar, los resultados ponen de relieve la necesidad de seguir estudiando los mecanismos biológicos responsables de la infección por COVID-19 y la progresión de la enfermedad", explica la autora principal del estudio, Cecilia Lindskog.

Para comprender plenamente la susceptibilidad a la infección por el SARS-CoV-2 y su progresión hacia una enfermedad grave y a veces mortal, es necesario estudiar los receptores de entrada del SARS-CoV-2 y su expresión específica de tipo celular en los tejidos humanos, tanto a nivel de ARNm como de proteínas. Se ha sugerido que el SARS-CoV-2 emplea la enzima ACE2 para la entrada de las células huéspedes, y que la penetración del SARS-CoV-2 a través de este receptor explicaría las graves manifestaciones clínicas observadas en diversos tejidos y órganos, incluido el sistema respiratorio.

Este nuevo estudio presenta una amplia actualización de la expresión de la ECA2 en todo el cuerpo humano, tanto a nivel de ARNm como de proteínas. Se encontró una expresión constantemente alta en los intestinos, el riñón, la vesícula biliar, el corazón, los órganos reproductivos masculinos, la placenta, el ojo y el sistema vascular. En el sistema respiratorio, sin embargo, la expresión era limitada, y en un subconjunto de células de unos pocos individuos no había ninguna expresión o sólo una expresión baja.

"Estudios previos han indicado que la proteína ACE2 se expresa altamente en el pulmón humano. Pero estos perfiles de expresión no se han presentado de forma fiable junto con los tejidos y órganos de todo el cuerpo humano, ni se han basado en varios conjuntos de datos diferentes a niveles de ARNm y proteína. Aquí, en contraste con estudios anteriores, hemos podido demostrar con confianza que no hay ninguna proteína ACE2 presente, o que solo se produce a niveles muy bajos, en el sistema respiratorio normal", reflexiona Lindskog.

Contenido patrocinado